ПРЕДСКАЗУЕМОСТЬ ЛЕЧЕНИЯ
Мы точно знаем, что вы выйдете от нас с красивой здоровой улыбкой

Хитрина Мария Михайловна

Хитрина Мария Михайловна

Врач стоматолог-хирург, имплантолог. Кандидат медицинских наук

Год начала практики 1998

Клинический опыт 28 лет

Стоимость приёма 993 ₽ или бесплатно, если остаётесь на лечение.

Основные направления работы:

  • имплантация любой степени сложности;
  • установка имплантатов по системе «все на четырех»;
  • увеличение объема костной ткани альвеолярных отростков челюстей;
  • синус-лифтинг;
  • пластическая хирургия десен;
  • устранение рецессий;
  • лечение воспалительных заболеваний челюстей;
  • зубосохраняющие операции с использованием микрохиругического подхода;
  • удаление зубов любой степени сложности;
  • удаление зубов мудрости;
  • подготовка к ортодонтическому лечению;
  • установка миниимплантатов;
  • удаление доброкачественных новообразований и кист челюстей и слизистой оболочки полости рта.

Образование:

  • 1993-1998 гг. Нижегородская Государственная медицинская академия, стоматологический факультет;
  • Ординатура НижГМА кафедра хирургической стоматологии и челюстно-лицевой хирургии;
  • Аспирантура ЦНИИ Стоматологии.

Курсы повышения квалификации:

  • 2006 г. – семинар «Современные эстетические возможности дентальной имплантологии»;
  • 2006 г. – семинар «Основы принятия решения в имплантологии»;
  • 2007 г. – «Менеджмент мягких тканей в современной периодонтологии и имплантологии»;
  • 2012 г. – участие в конгрессе «Европерио-7», Вена;
  • 2013, 2014, 2015, 2016, 2017, 2019 гг. – участие в обучающих программах и международных конференциях по стоматологической имплантации РФ, Израиль, Италия, Португалия, Гонконг;
  • 2016 г. – обучение пластической хирургии тканей полости рта – курс профессора Зукелли;
  • 2017 г. – обучение технике регенерации десенных сосочков вокруг имплантов - курс проф. Патрика Палаччи
  • 2018 г. – обучение продвинутым методам имплантации и регенерации тканей - курсы профессоров Иньяки Гамборена, Денниса Тарнов;
  • 2019 г. – участие в тематическом обучении по современным принципам работы с использованием оборудования и материалов компании NSK, Япония;
  • 2019 г. – курс периодонтальной микрохирургии, проф. Масана Сузуки;
  • 
2019 г. – апикальная микрохиругия - курс профессора Синджука Кима;
  • 2020 г. – участие в онлайн конгрессах Nobel Biocare, Quintessence Publishing, Osteology Foundation, Geistlich Biomaterials.

Опыт работы:

  • 2000-2006 гг. ассистент кафедры хирургической стоматологии и челюстно-лицевой хирургии НижГМА,  врач стоматолог отделений ЧЛХ ГКБ № 39 и ОКБ им. Семашко Н.А.
  • 2006-2020 гг. врач стоматолог-хирург  ООО «Доктор Дент»
  • 2020 г — настоящее время — врач стоматолог хирург «Стоматология доктор Хитрин и коллеги»

Научная деятельность и публикации: 2003 год - защита диссертации на соискание ученой степени кандидата медицинских наук по теме «Оптимизация диагностики и лечения больных с травмами скуло-орбитальной области» - Центральный научно-исследовательский институт стоматологии
10 печатных работ

Расписание
понедельник вторник среда четверг пятница суббота воскресенье

14:00 — 20:00

выходной

8:00 — 20:00

выходной

8:00 — 20:00

выходной

выходной

Посмотреть подробнее
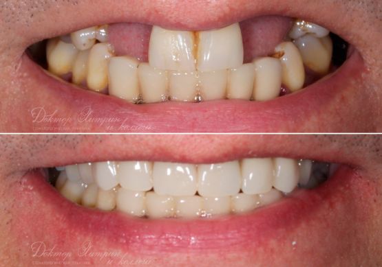
Полная реабилитация полости рта

Врач стоматолог-хирург, имплантолог, к.м.н. Хитрина Мария Михайловна

Врач стоматолог-ортопед
Семериков Сергей Анатольевич

Врач стоматолог-терапевт, пародонтолог
Канышева Людмила Анатольевна

Полная реабилитация полости рта: удаление разрушенных зубов, эндоссальная имплантация в боковых отделах верхней и нижней челюсти, пластика мягких тканей (десны) в области передних зубов, протезирование коронками и винирами.

Посмотреть подробнее
Верхняя челюсть
‎All-on-4 все на четырех

Врач стоматолог-хирург, имплантолог, к.м.н. Хитрина Мария Михайловна

Врач стоматолог-ортопед
Люлина (Киселева) Ирина Валентиновна

Имплантация «все на четырех» (All-on-4).

Посмотреть подробнее
Верхняя челюсть
‎All-on-4, все фото сделаны в один день

Врач стоматолог-хирург, имплантолог, к.м.н. Хитрина Мария Михайловна

Врач стоматолог-ортопед
Люлина (Киселева) Ирина Валентиновна

Установка временного несъемного протеза по методике «все на четырех» (All-on-4). Все фото сделаны в день удаления, установки имплантата, наложения протеза. Время пребывания в клинике около 6 часов.

Посмотреть подробнее
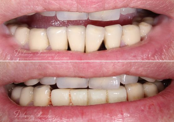
Восстановление жевательного зуба

Врач стоматолог-хирург, имплантолог, к.м.н. Хитрина Мария Михайловна

Врач стоматолог-ортопед, гнатолог
Шульгин Денис Андреевич

Восстановление жевательного зуба коронкой с винтовой фиксацией на имплантате.

Отзывы с источниками

Нижний Новгород, ул. Володарского, 40