ПРЕДСКАЗУЕМОСТЬ ЛЕЧЕНИЯ
Мы точно знаем, что вы выйдете от нас с красивой здоровой улыбкой

Элайнеры, как способ исправления прикуса

Последнее обновление статьи 22.04.2026

Элайнеры — прозрачные стоматологические капы, которые необходимо носить на зубах с целью исправления прикуса. Они имеют своё название в честь запатентовавшей их организации в США. Однако сейчас возможно изготовление элайнеров и в России, что существенно ускоряет и удешевляет их производство. Наша стоматология - «Доктор Хитрин и коллеги» занимается изготовлением элайнеров, имея для этого всё необходимое оборудование.

Цены на выравнивание зубов элайнерами в Нижнем Новгороде

Выравнивание зубов прозрачными элайнерами

от 70 000

Всё включено:
  • Консультация врача стоматолога-ортодонта
  • 3D-сканирование ротовой полости
  • Изготовление кап

  • Стоимость указана за 10 кап элайнеров,
    каждая из которых носится около 2 недель.
  • 10 кап обычно достаточно
    для исправления небольшой аномалии прикуса.
Контейнер для хранения в подарок!
...

Элайнеры невидимы на зубах

...

Контейнер для хранения в подарок

Эстетичность

Прозрачные капы практически
не заметны на зубах

Комфорт и удобство

С элайнерами достичь результата
зачастую проще и комфортнее

Легкий уход

Элайнеры снимаются
на время приема пищи

После проведения необходимых диагностических этапов, планирования лечения и визуализации всех этапов изготавливается определенное количество кап для вашего конкретного случая.

Элайнеры необходимо носить постоянно (около 20 часов из 24 имеющихся в сутках), снимая на время приёма пищи и чистки зубов. Максимальное время отдыха не должно составлять более 4-х часов в сутки, иначе они не окажут должного эффекта. Надевать элайнеры необходимо после чистки зубов. Сами капы также чистят с помощью зубной пасты и щетки, а если нет возможности (находитесь не дома), то хотя бы промыть водой. Нанесение реминерализующего геля под капу поможет дополнительно укрепить зубы.

Капы фиксируются на всех зубах верхней и/или нижней челюсти, даже если вы планируете изменение положения только одного зуба, так как для того, чтобы освободить ему место, следует подвинуть окружающие его зубы. Срок ношения элайнеров у всех разный, в зависимости от конкретной ситуации пациента, в среднем составляет от 6-7 месяцев до 1.5 лет при четком соблюдении всех рекомендаций врача.

Что лучше, брекеты или элайнеры? Нет единого ответа на этот вопрос. Значительные деформации зубочелюстной системы могут исправить только брекеты, иногда даже прибегая к помощи челюстно-лицевых хирургов. А в некоторых случаях брекет-система используется как небольшая предварительная подготовка перед лечением на элайнерах. При меньшей степени деформации будет достаточно ношения только элайнеров.

Преимущества элайнеров

Недостатки элайнеров

Нормализация прикуса с помощью элайнеров осуществляется в несколько этапов:

  1. Осмотр стоматолога-ортодонта, чтобы определить необходимость исправления прикуса именно элайнерами;
  2. Сканирование ротовой полости, чтобы получить объёмную 3D-модель челюсти на компьютере, рентгенологическое обследование и фотографирование пациента
  3. Компьютерное моделирование будущего положения зубов (составление сетап);
  4. Изготовление необходимого количества пар элайнеров;
  5. Посещение стоматолога 1 – 2 раза в месяц для наблюдения за процессом лечения и получения новых пар элайнеров.

Стоматология «Доктор Хитрин и коллеги» занимается восстановлением правильного прикуса как с помощью брекетов, так и с помощью элайнеров. У нас есть высококвалифицированные специалисты, богатый опыт и современное оборудование для того, чтобы ваша улыбка была красивой, здоровой и неотразимой!

Цены на элайнеры

Ортодонтия

Выравнивание зубов элайнерами (комплект 5 пар кап)
A16.07.047.120
от 36 877 ₽
Выравнивание зубов элайнерами (комплект 6-10 пар кап)
A16.07.047.121
от 70 060 ₽
Прием (осмотр, консультация) врача-ортодонта первичный
бесплатно, если остаётесь на лечение
B01.063.001
от 993 ₽
Прием (осмотр, консультация) врача-ортодонта, кандидата медицинских наук
бесплатно, если остаётесь на лечение
B01.063.001.003
от 1 461 ₽
Прием (осмотр, консультация) врача-ортодонта, кандидата медицинских наук с составлением плана комплесного лечения
B01.063.001.004
от 2 186 ₽

Что такое элайнеры? Как исправляют прикус элайнеры?

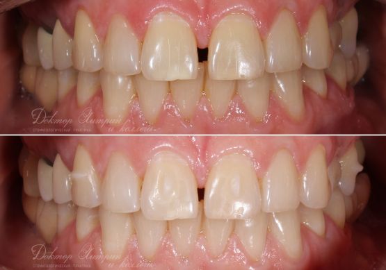
Диастема (щель между передними зубами)

Врач стоматолог-ортодонт
Шульгина Анастасия Александровна

Пациента беспокоила диастема (промежуток между передними верхними зубами), которая стала увеличиваться в последнее время и вызывать дискомфорт. Было проведено малоинвазивное лечение с помощью элайнеров - уменьшили диастему до комфортного состояния пациента. Полностью её закрывать пациент не планировал. По времени ортодонтическое лечение составило 6 недель, для которого понадобилось 3 элайнера.

Посмотреть подробнее

Оборудование уровня топ-клиник Европы — теперь и в Нижнем Новгороде

Дентальный компьютерный томограф KaVo Pan eXam Plus 3D Дентальный компьютерный томограф KaVo Pan eXam Plus 3D
Дентальный компьютерный томограф KaVo Pan eXam Plus 3D

Трехмерная реконструкция позволяет визуализировать как всю челюстно-лицевую область, так и отдельные зубы.

Стоматологический 3D принтер Asiga MAX Bundle Стоматологический 3D принтер Asiga MAX Bundle
Стоматологический 3D принтер Asiga MAX Bundle

Используется для ортодонтических работ, печати элайнеров, хирургических шаблонов, коронок и мостов.

Дентальный 3D сканер 3D Shape Дентальный 3D сканер 3D Shape
Дентальный 3D сканер 3D Shape

Для получения трёхмерного снимка зубов в цифровом формате, обладающего максимальной точностью. Благодаря скорости сканирования позволяет чувствовать себя максимально комфортно как пациенту, так и врачу.

Нижний Новгород, ул. Володарского, 40