ПРЕДСКАЗУЕМОСТЬ ЛЕЧЕНИЯ
Мы точно знаем, что вы выйдете от нас с красивой здоровой улыбкой

Брекеты, как способ исправления прикуса

Наиболее известным способом исправления прикуса и неправильного положения зубов являются брекеты. Это конструкция из металлических/керамических замочков, которые крепятся на поверхность зубов с помощью специального ортодонтического клея и соединяются между собой дугой. Дуга через брекеты оказывает давление на зубы, заставляя их смещаться в нужную сторону. Дуги меняются в процессе лечения все больше корректируя положение зубов.

Брекет-система имеет как плюсы, так и минусы:

«+»  относительно быстрое исправление неправильного положения зубов, нормализация прикуса, создание необходимого места в зубном ряду для будущего имплантата,  или же наоборот, уход от имплантации путем перемещения имеющихся зубов на место отсутствующих, тем самым закрывая дефект и т.д.
«-»  заметны на поверхности зубов, особенно металлические, иногда травмируют слизистую губ и щек, затрудняют чистку зубов, что может привести к ещё более негативным последствиям, чем неправильное положение, ограничения в питании.

Поэтому в дополнение к лечению брекетами были изобретены элайнеры - прозрачные капы из поликарбоната, постоянное ношение которых плавно сдвигает зубы и придёт им более правильное расположение.

Цены на брекеты

Ортодонтическое лечение частичной брекет системой до 8 брекетов, металл
A16.07.048.272
от 18 135 ₽
Ортодонтическое лечение металлической лигатурной брекет-системой стандартного размера, одна челюсть
A16.07.048.786
от 40 443 ₽
Ортодонтическое лечение металлической лигатурной брекет-системой уменьшенного размера, одна челюсть
A16.07.048.787
от 45 108 ₽
Ортодонтическое лечение металлической самолигирующей брекет-системой H4 стандартного размера, одна челюсть
A16.07.048.037
от 70 060 ₽
Ортодонтическое лечение эстетической брекет-системой Damon Clear или аналогичной, полная, одна челюсть
A16.07.048.035
от 147 474 ₽
Ортодонтическое лечение эстетической брекет-системой Damon Clear или аналогичной, частичная, одна челюсть
A16.07.048.036
от 129 046 ₽
Ортодонтическое лечение эстетической комбинированной лигатурной брекет-системой уменьшенного размера, одна челюсть
A16.07.048.788
от 65 017 ₽
Прием (осмотр, консультация) врача-ортодонта первичный
бесплатно, если остаётесь на лечение
B01.063.001
от 993 ₽
Прием (осмотр, консультация) врача-ортодонта, кандидата медицинских наук
бесплатно, если остаётесь на лечение
B01.063.001.003
от 1 461 ₽
Прием (осмотр, консультация) врача-ортодонта, кандидата медицинских наук с составлением плана комплесного лечения
B01.063.001.004
от 2 186 ₽

Когда нельзя ставить брекеты?

Когда нельзя ставить брекеты? Рассказывает врач стоматолог-хирург, имплантолог, директор клиники Максим Иосифович Хитрин.
 

Брекеты и чистка зубов

Почему при ношении брекетов важно чистить зубы? Рассказывает врач стоматолог-хирург, имплантолог, директор клиники Максим Иосифович Хитрин.

Посмотреть подробнее
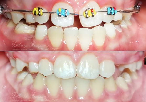
Детская брекет-система 2x4

Врач стоматолог-ортодонт
Шульгина Анастасия Александровна

Пациент 8 лет. Жалобы: неровно расположенные зубы. Проведя всю диагностику, было принято решение о проведении лечения с помощью частичной брекет-системы (2x4) с последующей установкой несъемного ретейнера для закрепления результата. Лечение за 5 месяцев, 8 посещений с учётом диагностики и фиксации брекетов. Смена дуг, постановка раскрывающих пружин, эластических цепочек, активации. Для поддержания результата после снятия системы носим миофункциональный трейнер на ночь.

Посмотреть подробнее
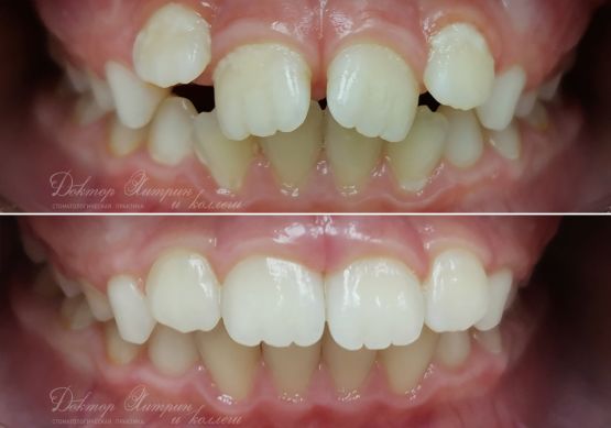
Исправление неправильного положения зубов

Врач стоматолог-ортодонт
Шульгина Анастасия Александровна

Пациент 8 лет. Тенденция к мезиальному прикусу (когда нижняя челюсть крупнее верхней), неправильное положение зубов и недостаточность места для прорезывания некоторых постоянных зубов была исправлена ношением частичной брекет-системы в течение 6 месяцев. После достижения необходимого результата была снята брекет-система, зафиксирован ретейнер.

Посмотреть подробнее
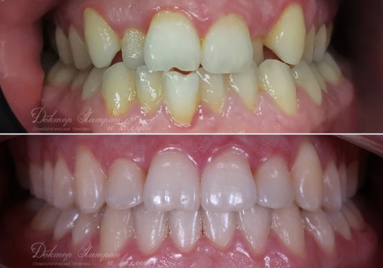
Безлигатурные брекеты

Врач стоматолог-ортодонт
Шульгина Анастасия Александровна

Пациент 26 лет, компенсированный мезиальный прикус. Лечение проводилось на безлигатурной брекет-системе в течение 1 года и 9 месяцев. Обошлись без удаления зубов и ортодонтических микро-импантатов.

Нижний Новгород, ул. Володарского, 40