ПРЕДСКАЗУЕМОСТЬ ЛЕЧЕНИЯ
Мы точно знаем, что вы выйдете от нас с красивой здоровой улыбкой
Хитрин Максим Иосифович

Уважаемые гости!
Спасибо, что зашли на наш сайт.

Когда я открывал клинику, я поставил цель собрать настоящих профессионалов, чтобы это была по-настоящему сильная, слаженная команда. И мне это удалось.

Я очень горжусь, что у нас работают такие врачи. Нам под силу даже самые сложные случаи. А всё остальное скажет за нас наша работа.

Приходите. Вы сможете в этом убедиться.


Хитрин Максим Иосифович
Директор клиники, стоматолог-хирург

Как мы работаем в праздничные дни:

1, 2, 3 и 9 мая - выходные дни
С 10 мая мы работаем в обычном режиме! Будем рады вам всегда.

Гарантия

Имплантация зубов с гарантией приживляемости.

Сильная команда

Опыт имплантации зубов с 2002 года. Средний опыт врачей 20 лет.

Современные технологии

Цифровая стоматология. Минимизация человеческого фактора.

Взрослым и детям

Врачи кандидаты медицинских наук.

Парковка

Подземная парковка нашим пациентам!

ДМС

Сотрудничаем со страховыми компаниями.

Обучение

Обучаем докторов имплантации.

Посмотреть подробнее
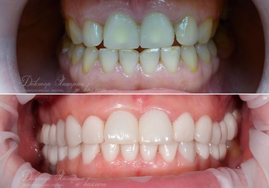
Восстановление переднего зуба, тотальная реабилитация

Врач стоматолог-хирург, имплантолог
Хитрин Максим Иосифович

Врач стоматолог-ортопед
Люлина (Киселева) Ирина Валентиновна

Проведена тотальная реабилитация с изготовлением виниров и коронок на все зубы в 2009 году. Поднее, в 2019 году один из передних зубов был заменен на имплантат. На фото разница в 14 лет.

Посмотреть подробнее
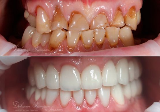
Полная реабилитация полости рта

Врач стоматолог-хирург, имплантолог, к.м.н. Хитрина Мария Михайловна

Врач стоматолог-ортопед
Семериков Сергей Анатольевич

Врач стоматолог-терапевт, пародонтолог
Канышева Людмила Анатольевна

Полная реабилитация полости рта: удаление разрушенных зубов, эндоссальная имплантация в боковых отделах верхней и нижней челюсти, пластика мягких тканей (десны) в области передних зубов, протезирование коронками и винирами.

Посмотреть подробнее
Верхняя челюсть
‎All-on-4 все на четырех

Врач стоматолог-хирург, имплантолог, к.м.н. Хитрина Мария Михайловна

Врач стоматолог-ортопед
Люлина (Киселева) Ирина Валентиновна

Имплантация «все на четырех» (All-on-4).

Посмотреть подробнее
Обе челюсти All-on-6‎

Врач стоматолог-хирург, имплантолог
Хитрин Максим Иосифович

Врач стоматолог-ортопед
Люлина (Киселева) Ирина Валентиновна

Восстановление верхней и нижней челюсти условно-съёмными протезами с опорами на 6 имплантатов. Примечательно, что пациенту 75 лет. Он прекрасно перенес и хирургическое лечение, и протезирование.

Имплантация зубов Все на четырёх All-on-4

Имплантация зубов «Все на четырёх» (All-on-4)

    Всё включено:

  • Бесплатная парковка у клиники
  • Консультация врача имплантолога
  • КТ челюсти
  • Импланты
  • Анестезия
  • Операция по имплантации
  • Индивидуальный протез
  • Последующие осмотры
  • Пожизненная гарантия

от350 000  

«All on 4» — для пациентов с полной или почти полной потерей зубов.

Подробнее...


Попробуйте Guided Biofilm Therapy – инновацию в проф.гигиене

Попробуйте гигиену нового поколения – безболезненную, максимально комфортную, которая подходит даже людям с чувствительными зубами, беременным, детям, обладателям брекетов, имплантов или виниров.

Её разработали специалисты швейцарской компании EMS совместно с европейскими университетами и ведущими стоматологами.

GBT (Guided Biofilm Therapy)

Выравнивание зубов прозрачными элайнерами

Выравнивание зубов прозрачными элайнерами

    Всё включено:

  • Консультация врача стоматолога-ортодонта
  • 3D-сканирование ротовой полости
  • Изготовление кап

от68 000   

Контейнер для хранения элайнеров в подарок!

Подробнее...


Лечение кист зубов

Часто бывает так, что воспаление на зубе протекает практически бессимптомно. Так, например, у пациента был обширный воспалительный процесс на верхней челюсти, который распространялся и на соседний зуб. В будущем это грозило нагноением, сильной болью и гайморитом, который уже начинался, а закончилось бы в итоге удалением двух зубов.

То, что зуб воспалился и образовалась киста, выяснилось на плановой профилактической проверке. Затем были тщательно, с помощью микроскопа, вылечены корневые каналы в зубе. Контрольный снимок через полгода показал, что воспалительный процесс полностью ликвидирован, костная ткань восстановилась, гайморит прошел.

Обычно такое лечение требует 4-5 посещений. Необходимо приходить к врачу в соответствии с графиком в течение 2-4 недель. Прием антибиотиков необязателен, если воспалительный процесс не сопровождается нагноением.

Ориентировочная стоимость лечения одного многокорневого зуба от 20 000 ₽.

Лечение кист зубов

Лечение нарушений работы височно-нижнечелюстного сустава (ВНЧС)

Лечение нарушений работы височно-нижнечелюстного сустава (ВНЧС)

Если у вас есть болевые ощущения в области височно-нижнечелюстного сустава, боль при движениях челюсти, щелчки в суставе или непонятные головные боли, от которых не спасает невропатолог – вам нужен наш врач-гнатолог.

В нашей клинике мы лечим пациентов с учетом состояния височно-нижнечелюстного сустава. Для этого используем цифровую аксиографию – диагностическую процедуру, которая позволяет в реальном времени увидеть движение в суставе нижней челюсти и нарушения, если они есть.


Костная пластика

Иногда для того, чтобы установить имплантат, необходимо нарастить костную ткань – в тех случаях, когда ее недостаточно. Наращивание костной ткани – одна из наиболее распространенных и эффективных технологий в стоматологии, автором которой является венгерский доктор Иштван Урбан.

Нехватка объема челюсти возникает из-за естественной убыли костной ткани после удаления зубов.

Процедура наращивания занимает около полутора часов. Проходит с использованием искусственного материала и собственной костной ткани пациента под местным обезболиванием.

Как видно на первом снимке, у пациента был объем костной ткани, недостаточный для имплантации (5,3 мм). На снимке № 2 установлен имплантат благодаря тому, что челюсть стала два раза шире – ширина костной ткани уже больше 8 мм.

Стоимость наращивания костной ткани от 50 000 ₽.

Костная пластика

Оборудование уровня топ-клиник Европы — теперь и в Нижнем Новгороде

Дентальный компьютерный томограф KaVo Pan eXam Plus 3D Дентальный компьютерный томограф KaVo Pan eXam Plus 3D
Дентальный компьютерный томограф KaVo Pan eXam Plus 3D

Трехмерная реконструкция позволяет визуализировать как всю челюстно-лицевую область, так и отдельные зубы.

Air Flow Prophylaxis Master Air Flow Prophylaxis Master
Air Flow Prophylaxis Master

Швейцарский AirFlow® Prophylaxis Master — единственный аппарат для полной, безболезненной и максимально эффективной профгигиены по протоколу GBT. Удаляет зубной налёт даже под десной и вокруг имплантов. Результат, как в клинике мирового уровня.

Стоматологический 3D принтер Asiga MAX Bundle Стоматологический 3D принтер Asiga MAX Bundle
Стоматологический 3D принтер Asiga MAX Bundle

Используется для ортодонтических работ, печати элайнеров, хирургических шаблонов, коронок и мостов.

Стоматологические микроскопы Leica M320 Стоматологические микроскопы Leica M320
Стоматологические микроскопы Leica M320

Позволяют всевозможные процедуры, требующие особенной аккуратности. Минимальная обработка зуба под коронки, диагностика кариеса в самой начальной его стадии, повторное лечение корневых каналов.

Дентальный 3D сканер 3D Shape Дентальный 3D сканер 3D Shape
Дентальный 3D сканер 3D Shape

Для получения трёхмерного снимка зубов в цифровом формате, обладающего максимальной точностью. Благодаря скорости сканирования позволяет чувствовать себя максимально комфортно как пациенту, так и врачу.

Аксиограф Proface SDI Matrix Аксиограф Proface SDI Matrix
Аксиограф Proface SDI Matrix

Позволяет выполнить глубокую детальную диагностику нарушений движения нижней челюсти и выявить патологию в области височно-нижнечелюстного сустава. С его помощью можно проследить за движением челюсти, сделать цифровые сканы зубов и челюсти, аксиографию, фотопротокол, выполнить точный цифровой анализ.

Рентген-аппарат Gendex Expert DC 65 Рентген-аппарат Gendex Expert DC 65
Рентген-аппарат Gendex Expert DC 65

Современный и безопасный рентген-аппарат, обеспечивающий максимальную четкость изображения.

Автоклав Vacuklav 23 B+ MELAG Автоклав Vacuklav 23 B+ MELAG
Автоклав Vacuklav 23 B+ MELAG

Для надёжной стерилизации инструментов. Принадлежность к наивысшему классу «B» гарантирует решение самых сложных задач стерилизации.

Нижний Новгород, ул. Володарского, 40