Мы точно знаем, что вы выйдете от нас с красивой здоровой улыбкой
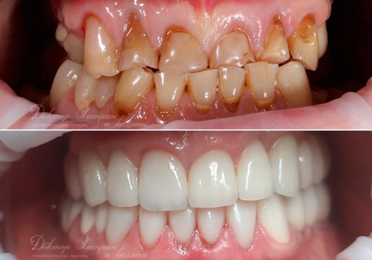
Кейс «Полная реабилитация полости рта»
Полная реабилитация полости рта: удаление разрушенных зубов, эндоссальная имплантация в боковых отделах верхней и нижней челюсти, пластика мягких тканей (десны) в области передних зубов, протезирование коронками и винирами.
Мы используем файлы cookies для обеспечения корректной работы и анализа трафика.
Продолжая использовать сайт, вы соглашаетесь на использование cookies.
Подробнее в нашей политике конфиденциальности.