Стоимость приёма 993 ₽
Виниры — это тонкие керамические накладки на внешнюю поверхность зубов. Основная функция виниров эстетическая, поэтому их чаще устанавливают на передние зубы. Однако они также защищают зубы, делают улыбку красивой и придают уверенность ее обладателю.
«Мы дарим миру красивые улыбки»
1. Некрасивая форма зубов, ее нарушение, в том числе сильно стёртые и сколотые зубы, наличие трещин;
2. Неравномерный цвет зубов. Если некоторые зубы сильно отличаются по цвету, например, вследствие травмы, винир сможет замаскировать их под остальной зубной ряд;
3. Промежутки между зубами, которые портят улыбку и создают дискомфорт;
4. Клиновидный дефект — нарушение зубной эмали возле десны. Возможны разные способы лечения, установка как пломбы, так и виниров, которые будут защищать зуб от дальнейшего повреждения.
5. Если желаете стать обладателем «голливудской улыбки», вам подойдут виниры Bleach ультрабелого цвета. С ними вы приятно поразите окружающих белоснежной улыбкой.
Обычно виниры не отличаются от остальных зубов по цвету и максимально идентичны им по форме, их основная функция — скрыть изъяны. Если же вам хочется иметь идеальные зубы — вам подойдут ультрабелые виниры Bleach.
Виниры — не панацея от всех проблем, их необходимость определяется состоянием зубов. Возможно, их стоит лечить, а не скрывать дефекты под керамическии накладками.
Возможность и необходимость установки виниров определяет стоматолог-ортопед. Обычно пациенты приходят с проблемой и ставят цель «сделать красиво», а что для этого нужно, пломба, коронка или виниры — решает врач.
Срок службы керамического винира составляет 8-10 лет. При должном уходе виниры могут прослужить до 15 лет и, напротив, при злоупотреблении семечками гораздо меньше. Нарушить винир может плохая гигиена и, как следствие, наличие микробов, разрушающих зуб, на котором установлен винир, повышенное трение из-за недостатков прикуса, а также механические повреждения. Необходимо следить за гигиеной полости рта, а также пользоваться специальной каппой для ночного ношения.

Зубы должны быть здоровыми, при наличии кариеса назначается лечение. Затем оцениваются особенности прикуса, при необходимости проводится лечение у ортодонта. На этой стадии обговариваются пожелания, оценивается состояние зубов, подбирается тип и цвет виниров.
Ультратонкие виниры (ультраниры) устанавливаются без предварительной обточки зубов. Однако ультраниры подойдут не всем: скорректировать форму и цвет зубов совсем без препарирования возможно далеко не всегда. При необходимости на данной стадии зуб обрабатывается, обтачивается, затем делается его оттиск. По результатам цифрового оттиска производится компьютерное моделирование и устанавливается временная пластина. Временные пластиковые виниры помогают добиться идеального цвета и формы, это может занять от 2-3 дня до 3-4 недель. Будет ли удобно с таким виниром, отличится ли оттенок, какой будет улыбка — врачу и пациенту надо поймать идеальное сочетание формы и цвета прежде чем что-то обточить. Срок изготовления постоянного винира составляет около 7-10 дней, однако всё зависит от времени эксплуатации временного винира.
Если временный винир полностью подходит — изготавливается и устанавливаются постоянный. Его шлифуют и полируют чтобы он составлял единое целое с вашим зубом.
Если не подходит — производится дальнейшая обработка зуба и корректировка винира до идеального состояния. Максимальный срок «подгонки» винира составляет месяц.
Керамические виниры — чаще всего для их изготовления используется стеклокерамика E MAX, это самый прочный стоматологический материал для виниров и коронок именно на передние зубы, его отличает повышенная эстетичность. Виниры E MAX изготавливают в лаборатории, предварительно зуб обтачивается, создаётся слепок, и на время изготовления винира обточенный зуб защищается пластиковой накладкой.
Стоимость виниров из керамики E MAX начинается от 28000 рублей, срок службы составляет 8-10 лет.
Композитные «терапевтические» виниры (компониры) — менее прочный материал с меньшим сроком службы, зато более экономичный. Обычно таким способом улучшают отдельные зубы, а не целый ряд. Компониры могут изготавливаться как в лаборатории, так и формироваться непосредственно в полости рта за один визит к врачу.
Стоимость композитных виниров начинается от 6000 рублей, срок службы составляет около 5-7 лет.
Ультратонкие виниры (ультраниры) — их отличает повышенная эстетическая привлекательность и возможность замены без повреждения зуба. Для их установки не требуется обточка зуба, что также является плюсом.
Стоимость ультраниров начинается от 30000 рублей, срок службы составляет около 10 лет.
Мы работаем со всем типами виниров и индивидуально подходим к каждому случаю. Специалисты «Доктор Хитрин и коллеги» сделают вашу улыбку красивой!
|
Керамический винир (прессованная керамика) A16.07.003.002 |
от 42 807 ₽ |
|
Винир композитный 1 ст. сложности A16.07.002.029 |
от 17 094 ₽ |
|
Винир композитный 2 ст. сложности A16.07.002.028 |
от 20 945 ₽ |
Стоимость приёма 993 ₽
Стоимость приёма 993 ₽
Стоимость приёма 993–2249 ₽
Что такое виниры?
Рассказывает врач стоматолог-хирург, имплантолог, директор клиники Максим Иосифович Хитрин.
Каким винирам отдать предпочтение? Керамическим или из пломбировочного материала? Рассказывает врач стоматолог-ортопед нашей клиники Семериков Сергей Анатольевич.
Врач стоматолог-терапевт, пародонтолог
Канышева Людмила Анатольевна
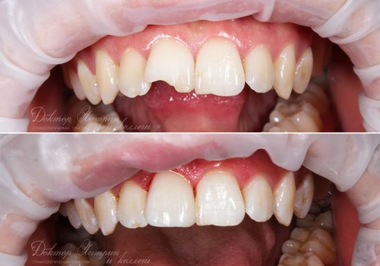
Перелом коронки зуба - частое осложнение при травме, в данном случае травма получена при тушении пожара.
При сохранении жизнеспособности нерва - прямое восстановление (терапевтичекий винир) дает прекрасный эстетический и долговечный по времени результат.
Врач стоматолог-хирург, имплантолог
Хитрин Максим Иосифович
Врач стоматолог-ортопед
Семериков Сергей Анатольевич
Сложная работа у ранее протезированного пациента. Особенность этой работы - неполное прорезывание постоянных зубов, что делает коронки (видимую часть зуба) очень короткой. Эффективным может быть только комплексное лечение: сначала - удлинение клинических коронок, затем протезирование.
Врач стоматолог-ортопед
Семериков Сергей Анатольевич
Четыре верхних зуба восстановлены коронками и винирами из безметалловой керамики.