ПРЕДСКАЗУЕМОСТЬ ЛЕЧЕНИЯ
Мы точно знаем, что вы выйдете от нас с красивой здоровой улыбкой

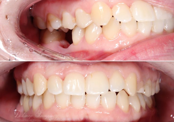
Кейс «Восстановление жевательного зуба»

Восстановление жевательного зуба коронкой с винтовой фиксацией на имплантате.

До и после: Восстановление жевательного зуба
Нижний Новгород, ул. Володарского, 40