ПРЕДСКАЗУЕМОСТЬ ЛЕЧЕНИЯ
Мы точно знаем, что вы выйдете от нас с красивой здоровой улыбкой

Шульгин Денис Андреевич

Шульгин Денис Андреевич

Врач стоматолог-ортопед, гнатолог

Год начала практики 2019

Клинический опыт 7 лет

Стоимость приёма 993–2249 ₽ или бесплатно, если остаётесь на лечение.

  • Восстановление зубного ряда частично-съемными и полными-съемными протезами, несъемными конструкциями (керамические, металлокерамические, литые, пластмассовые коронки);
  • Эстетические реставрации (керамические виниры, EMAX, диоксид циркония с нанесением);
  • Протезирование на имплантатах;
  • Диагностика и лечение заболеваний ВНЧС (височно-нижнечелюстного сустава).

Образование:

  • 2014-2019 гг.  Приволжский исследовательский медицинский университет, стоматологический факультет (диплом с отличием);
  • 2019-2021 гг. Клиническая ординатура на кафедре ортопедической стоматологии и ортодонтии;

Сертификаты: «Стоматология ортопедическая»

Увлечения: музыка, мотоциклы.

Расписание
понедельник вторник среда четверг пятница суббота воскресенье

чётные дни

нечётные дни

8:00 — 14:00

14:00 — 20:00

выходной

14:00 — 20:00

выходной

8:00 — 14:00

выходной

выходной

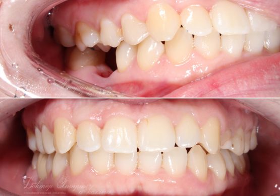
Восстановление жевательного зуба

Врач стоматолог-хирург, имплантолог, к.м.н. Хитрина Мария Михайловна

Врач стоматолог-ортопед, гнатолог
Шульгин Денис Андреевич

Восстановление жевательного зуба коронкой с винтовой фиксацией на имплантате.

Посмотреть подробнее
Нижний Новгород, ул. Володарского, 40