ПРЕДСКАЗУЕМОСТЬ ЛЕЧЕНИЯ
Мы точно знаем, что вы выйдете от нас с красивой здоровой улыбкой

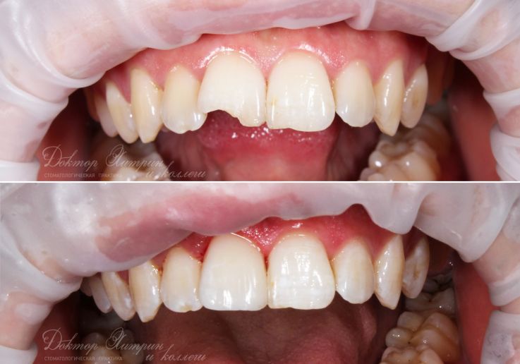
Кейс «Терапевтический винир»

Перелом коронки зуба - частое осложнение при травме, в данном случае травма получена при тушении пожара.
При сохранении жизнеспособности нерва - прямое восстановление (терапевтичекий винир) дает прекрасный эстетический и долговечный по времени результат.

До и после: Терапевтический винир
Нижний Новгород, ул. Володарского, 40