ПРЕДСКАЗУЕМОСТЬ ЛЕЧЕНИЯ
Мы точно знаем, что вы выйдете от нас с красивой здоровой улыбкой

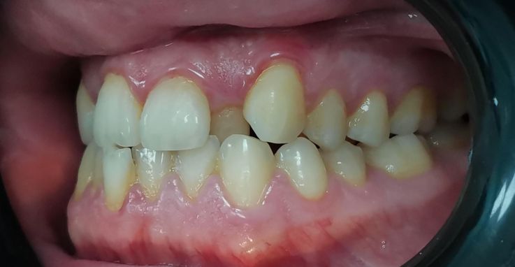
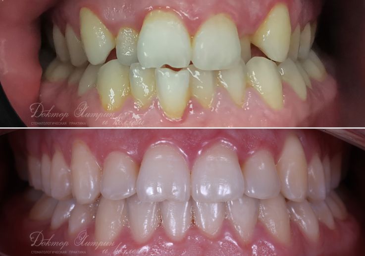
Кейс «Безлигатурные брекеты»

Пациент 26 лет, компенсированный мезиальный прикус. Лечение проводилось на безлигатурной брекет-системе в течение 1 года и 9 месяцев. Обошлись без удаления зубов и ортодонтических микро-импантатов.

До и после: Безлигатурные брекеты
До лечения
До лечения
До лечения
До лечения
До лечения
До лечения
До лечения
До лечения
После лечения
После лечения
После лечения
После лечения
После лечения
После лечения
После лечения
После лечения
Нижний Новгород, ул. Володарского, 40