ПРЕДСКАЗУЕМОСТЬ ЛЕЧЕНИЯ
Мы точно знаем, что вы выйдете от нас с красивой здоровой улыбкой

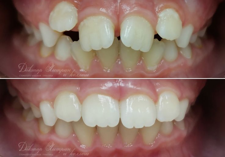
Кейс «Детская брекет-система 2x4»

Пациент 8 лет. Жалобы: неровно расположенные зубы. Проведя всю диагностику, было принято решение о проведении лечения с помощью частичной брекет-системы (2x4) с последующей установкой несъемного ретейнера для закрепления результата. Лечение за 5 месяцев, 8 посещений с учётом диагностики и фиксации брекетов. Смена дуг, постановка раскрывающих пружин, эластических цепочек, активации. Для поддержания результата после снятия системы носим миофункциональный трейнер на ночь.

До и после: Детская брекет-система 2x4
На первом приёме
На первом приёме
Спустя 1,5 месяца
Спустя 1,5 месяца
Спустя 2,5 месяца
Спустя 2,5 месяца
Спустя 3,5 месяца
Спустя 3,5 месяца
Спустя 5 месяцев
Спустя 5 месяцев
Нижний Новгород, ул. Володарского, 40