Мы точно знаем, что вы выйдете от нас с красивой здоровой улыбкой
Кейс «Восстановление переднего зуба»
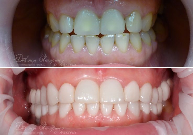
Проведена тотальная реабилитация с изготовлением виниров и коронок на все зубы в 2009 году. Поднее, в 2019 году один из передних зубов был заменен на имплантат. На фото разница в 14 лет.
Мы используем файлы cookies для обеспечения корректной работы и анализа трафика.
Продолжая использовать сайт, вы соглашаетесь на использование cookies.
Подробнее в нашей политике конфиденциальности.