ПРЕДСКАЗУЕМОСТЬ ЛЕЧЕНИЯ
Мы точно знаем, что вы выйдете от нас с красивой здоровой улыбкой

Хитрин Максим Иосифович

Хитрин Максим Иосифович

Врач стоматолог-хирург, имплантолог

Учредитель и директор ООО «Стоматология доктор Хитрин и коллеги»

Год начала практики 1998

Клинический опыт 28 лет

Врач стоматолог-хирург, имплантолог. Владеет методами дентальной имплантации, микрохирургическими методиками сохранения зубов при кистах и др. поражениях корней, восстановления объема костной ткани и мягких тканей полости рта, методами лечения заболеваний десен, нетравматичного удаления зубов, в том числе «зубов мудрости», непрорезавшихся зубов. Учредитель и директор ООО «Стоматология доктор Хитрин и коллеги».

Стоимость приёма 993 ₽ или бесплатно, если остаётесь на лечение.

Основные направления работы:

  • диагностика и лечение частичной потери зубов с применением внутрикостных имплантатов;
  • микрохирургические зубосохраняющие операции при кистах и других поражениях корней;
  • восстановление объема костной ткани и десны для эстетичного протезирования на имплантатах и (или) естественных зубах;
  • диагностика и лечение заболеваний десен;
  • атравматичное удаление зубов, включая «зубы мудрости».

Образование:

  • 1993-1998 гг. Нижегородская Государственная медицинская академия, стоматологический факультет;
  • 1998-2000 гг. Клиническая ординатура на кафедре хирургической стоматологии и челюстно-лицевой хирургии.

Курсы повышения квалификации:

  • 1997 г. – месячная стажировка в университете города Эссен по челюстно-лицевой хирургии;
  • 2003 г. – клинический курс по системе имплантации Астра Тек;
  • 2006 г. – семинар «Современные эстетические возможности дентальной имплантологии»;
  • 2006 г. – семинар «Основы принятия решения в имплантологии»;
  • 2007 г. – «Менеджмент мягких тканей в современной периодонтологии и имплантологии»;
  • 2012 г. – участие в конгрессе «Европерио-7», Вена;
  • 2013, 2014, 2015, 2016, 2017, 2018 гг. – участие в обучающих программах и международных конференциях по стоматологической имплантации РФ, Израиль, Италия, Португалия, Гонконг;
  • 2016 г. – обучение пластической хирургии тканей полости рта – курс профессора Зукелли;
  • 2017 г. – обучение микрохирургическим методикам в имплантологии и периодонтологии у профессора Рино Бурхардт;
  • 2019 г. – участие в тематическом обучении по современным принципам работы с использованием оборудования и материалов компании NSK и KaVo, Япония, Германия;
  • 2019 г. – курс периодонтальной микрохирургии у профессора Масана Сузуки;
  • 2020 г. – участие в on-line конгрессах Nobel Biocare и Quintessence.

Опыт работы:

  • 2000-2003 ассистент кафедры хирургической стоматологии и челюстно-лицевой хирургии НижГМА, врач стоматолог отделения ЧЛХ ГКБ № 39
  • 2003-2016 врач стоматолог-хирург, главный врач ООО «НИКА СПРИНГ»
  • 2017 - настоящее время - врач стоматолог хирург «Стоматология доктор Хитрин и коллеги»

Научная деятельность и публикации: 4 печатных работы.

Сертификаты: «Стоматология хирургическая», «Организация здравоохранения и общественное здоровье»

Увлечения: Горные лыжи, автопутешествия.

Расписание
понедельник вторник среда четверг пятница суббота воскресенье

8:00 — 14:00

8:00 — 20:00

выходной

8:00 — 20:00

выходной

9:00 — 17:00

выходной

Посмотреть подробнее
Верхняя челюсть
‎All-on-4, все фото в один день

Врач стоматолог-хирург, имплантолог
Хитрин Максим Иосифович

Врач стоматолог-ортопед
Семериков Сергей Анатольевич

Установка временного несъемного протеза по методике «все на четырех» (All-on-4). Все фото сделаны в день удаления, установки имплантата, наложения протеза. Время пребывания в клинике около 6 часов.

Посмотреть подробнее
Нижняя челюсть «‎All-on-4»

Врач стоматолог-хирург, имплантолог
Хитрин Максим Иосифович

Врач стоматолог-ортопед
Семериков Сергей Анатольевич

Посмотреть подробнее
Восстановление передних зубов верхней челюсти

Врач стоматолог-хирург, имплантолог
Хитрин Максим Иосифович

Врач стоматолог-ортопед
Семериков Сергей Анатольевич

Удаление центральных резцов верхней челюсти с одномоментной имплантацией и последующим протезированием металлокерамическими коронками.

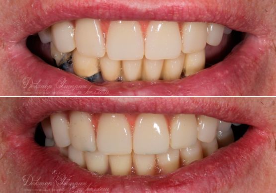
Виниры

Врач стоматолог-хирург, имплантолог
Хитрин Максим Иосифович

Врач стоматолог-ортопед
Семериков Сергей Анатольевич

Сложная работа у ранее протезированного пациента. Особенность этой работы - неполное прорезывание постоянных зубов, что делает коронки (видимую часть зуба) очень короткой. Эффективным может быть только комплексное лечение: сначала - удлинение клинических коронок, затем протезирование.

Отзывы с источниками

Нижний Новгород, ул. Володарского, 40