ПРЕДСКАЗУЕМОСТЬ ЛЕЧЕНИЯ
Мы точно знаем, что вы выйдете от нас с красивой здоровой улыбкой

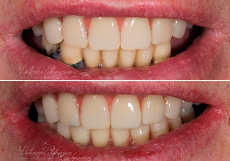
Кейс «Нижняя челюсть «‎All-on-4»»

До и после: Нижняя челюсть «‎All-on-4»
Нижняя челюсть до операции
Нижняя челюсть до операции
Нижняя челюсть до операции
Нижняя челюсть до операции
Нижняя челюсть до операции, рентген
Нижняя челюсть до операции, рентген
Нижняя челюсть после операции
Нижняя челюсть после операции
Нижняя челюсть после операции с временным протезом
Нижняя челюсть после операции с временным протезом
Нижняя челюсть после операции, рентген
Нижняя челюсть после операции, рентген
Нижний Новгород, ул. Володарского, 40