Мы точно знаем, что вы выйдете от нас с красивой здоровой улыбкой
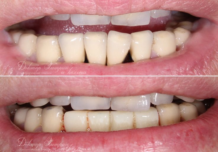
Кейс «Восстановление передних зубов нижней челюсти»
Немедленная имплантация с нагрузкой в области нижних резцов. Удаление четырёх нижних резцов в связи с заболеванием десён, установка двух имплантатов и фиксация несъёмного временного протеза в области удалённых зубов.
Мы используем файлы cookies для обеспечения корректной работы и анализа трафика.
Продолжая использовать сайт, вы соглашаетесь на использование cookies.
Подробнее в нашей политике конфиденциальности.