ПРЕДСКАЗУЕМОСТЬ ЛЕЧЕНИЯ
Мы точно знаем, что вы выйдете от нас с красивой здоровой улыбкой

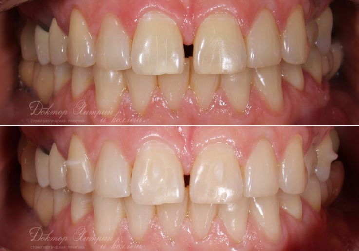
Кейс «Диастема (щель между передними зубами)»

Пациента беспокоила диастема (промежуток между передними верхними зубами), которая стала увеличиваться в последнее время и вызывать дискомфорт. Было проведено малоинвазивное лечение с помощью элайнеров - уменьшили диастему до комфортного состояния пациента. Полностью её закрывать пациент не планировал. По времени ортодонтическое лечение составило 6 недель, для которого понадобилось 3 элайнера.

До и после: Диастема (щель между передними зубами)
Нижний Новгород, ул. Володарского, 40